Frogs Swallow With Their Eyeballs...
Morning Froggers!

Oh god!
That’s a real shame. Sorry Derd.
Well, anyway, we’ve got a different frog problem on our hands today..
See, this is how a frog eats a bug:

Right?!
Oh, you didn’t catch that craziness?
Cleaner angle:

FROGS SWALLOW WITH THEIR EYEBALLS!
WHY?!
Well, imagine you’re a frog, just hanging out on your lily pad.

Stereotypical, I know.
But that’s really what they do.
And here it comessssss–



Oh yes. A BIG, JUICY–

Oops.
Alright, here we go.
So your froggy tongue flicks out.
And once it touches something, the saliva is like super glue..


So you reeeeel this goober into your little frog mouth!

But here's the problem…
Frogs don't have chewing teeth.
Just these little grippy nubs that don’t really do anything:

I know they look kind of sharp there..
They’re not.
So our bug's gonna escape!!

Unless we use our super frog weapon…
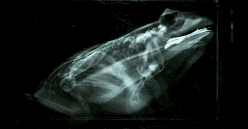
Check out this X-ray:


BANG.
When you go to swallow that fly, your eyeballs (which – you know – usually just sit in their sockets)
Get PULLED down by muscles



Into your skull!
They press HARD on the roof of your mouth:


Driving that meal straight down your throat!

Yum.
Stay Cute,
Henry & Dylan 🌈
P.S if you enjoyed this lesson, forward it to a friend.
If you’re that sexy friend, subscribe here.
Get smart about nonsense🌈
Join 100,000+ subscribers and get our daily comic explaining nerdy stuff like you’re 5.






